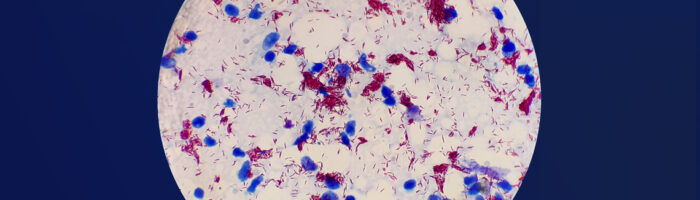
Bactéria causadora da hanseníase estava na América antes dos europeus
Principal espécie, Mycobacterium leprae, foi trazida por europeus, mas M. lepromatosis já estava no continente há pelo menos mil anos
Copie e cole este URL em seu site WordPress para incorporar
Copie e cole este código no seu site para incorporar