Matérias relacionadas

Neurociência

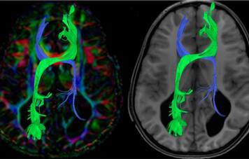
Ponte entre hemisférios Por

Roberto Lent

Roberto Lent: Especialista em conexões Por

Neurociência

Novas rotas cerebrais Por

Mais conteúdo em Ciência

Física

Prótons perdem energia da mesma forma na água líquida e no gelo amorfo Por

Saúde pública

Consumo de drogas ilícitas cresceu cerca de 80% no Brasil de 2012 a 2023 Por

Virologia

Vírus causador da gripe aviária entrou no Brasil por duas rotas migratórias em 2025 Por